logo1
logo2

Home Services About Us Patient Forms Contact

                                                                                      
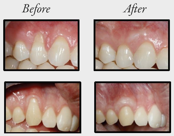
Gum Recession

Gum recession is caused by several factors including aggressive brushing, gum disease, thin gum tissue, and muscle pull.  Gum recession can lead to an unpleasing smile, root sensitivity, root cavities, and makes cleaning the teeth affected by recession difficult.

There are several ways to treat gum recession.  While the most common way to treat gum recession is with a gum graft, recession can also be treated without having to take tissue from the patient, thus reducing the amount of discomfort following the procedure.

 

recession