logo1
logo2

Home Services About Us Patient Forms Contact

                                                                                      
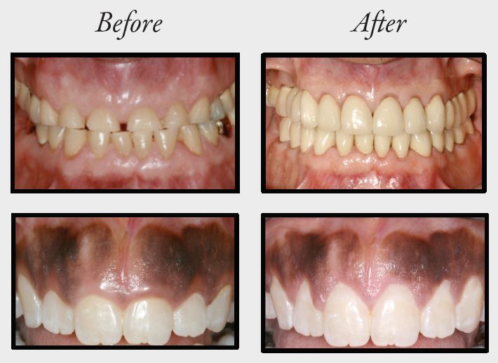
Crown Lengthening

Crown lengthening is a procedure that elongates the amount of tooth visible above the gum line.  Crown lengthening is used to improve esthetics and, at times, create more space for your dentist to make a crown.

 

crown lengthening